01 30 53 13 68
Contactez-nous
greffe-gingivale-cabinet-claude-monet

Greffe gingivale

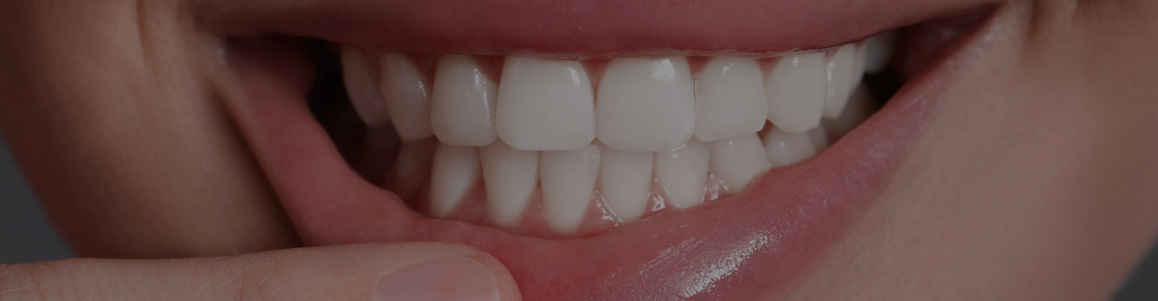
La greffe gingivale est un traitement chirurgical conçu pour réparer les gencives rétractées ou endommagées, souvent causées par des maladies parodontales, une mauvaise hygiène bucco-dentaire ou un brossage trop agressif. Ce type de greffe aide à protéger les racines des dents exposées et à rétablir une ligne gingivale esthétique.

Au cabinet dentaire Claude Monet à Croissy-sur-Seine, vous pouvez bénéficier d’une prise en charge experte pour retrouver des gencives saines et un sourire harmonieux grâce à la greffe gingivale.

Quand opter pour une greffe gingivale ?

La greffe gingivale est souvent indiquée lorsque les gencives se rétractent et exposent la racine des dents, un phénomène appelé récession gingivale. Ce problème peut entraîner une sensibilité accrue, des caries sur la racine exposée et même une perte dentaire à long terme. Voici quelques signes qui indiquent que vous pourriez avoir besoin d’une greffe gingivale.

  • Récession gingivale

Si vous remarquez que vos dents semblent plus longues ou que la gencive se rétracte, une greffe gingivale peut être nécessaire. Ce phénomène expose la racine de la dent, rendant la zone plus sensible et vulnérable aux caries. La greffe permet de recouvrir la racine exposée et de prévenir d’autres complications.

  • Sensibilité dentaire

La récession gingivale expose la racine des dents, ce qui peut provoquer une sensibilité accrue aux aliments froids, sucrés, acides ou chauds. Si vous ressentez ce type de sensibilité, une greffe gingivale pourrait être la solution pour protéger vos dents et réduire cette sensation inconfortable.

  • Prévention des maladies parodontales

La récession gingivale peut également entraîner une inflammation ou une infection des tissus gingivaux. Si vos gencives sont rouges, enflées ou saignent facilement, une greffe gingivale peut aider à restaurer les tissus sains et prévenir la progression des maladies parodontales.

Les avantages de la greffe gingivale

La greffe gingivale présente plusieurs avantages, tant sur le plan esthétique que sur celui de la santé bucco-dentaire. Voici pourquoi vous devriez envisager ce traitement pour restaurer vos gencives et protéger vos dents.

  • Protection des racines dentaires

La greffe gingivale permet de recouvrir les racines dentaires exposées, réduisant ainsi le risque de caries sur la racine et de sensibilité dentaire. En rétablissant une couverture adéquate des racines, la greffe protège également les dents contre l’usure due à la mastication et aux agressions extérieures.

  • Esthétique améliorée

En restaurant la ligne gingivale, la greffe améliore l’apparence de votre sourire. Les dents paraissent plus équilibrées et moins longues, offrant ainsi une esthétique plus harmonieuse. Si vous êtes préoccupé par l’apparence de vos gencives, ce traitement est idéal pour restaurer un sourire naturel.

  • Prévention des complications futures

En corrigeant la récession gingivale, vous réduisez le risque de complications futures telles que la perte osseuse ou la perte dentaire. La greffe gingivale permet de renforcer les gencives et de stabiliser la dentition. Ce traitement vous aide ainsi à conserver une bouche en bonne santé sur le long terme.

Comment se déroule une greffe gingivale ?

La greffe gingivale est une procédure simple et efficace qui se réalise généralement en plusieurs étapes. Voici comment elle se déroule au cabinet dentaire Claude Monet à Croissy-sur-Seine.

  1. Première consultation

Lors de la première consultation, le dentiste évalue l’état de vos gencives et la gravité de la récession gingivale. Une fois l’évaluation terminée, il vous expliquera en détail le déroulement de la procédure et déterminera la technique de greffe la plus adaptée à votre situation.

  1. Le processus de la greffe

La greffe gingivale se fait sous anesthésie locale pour garantir votre confort pendant l’intervention.

Au cabinet Claude Monet, nos experts utilisent une matrice dermique acellulaire permettant une alternative sans prélèvement du tissu du palais du patient, réduisant ainsi la douleur et le temps de récupération. Cette matrice offre une biocompatibilité optimale.

Après avoir préparé la zone affectée, le chirurgien-dentiste place la matrice sur la zone exposée et la stabilise avec des points de suture. La matrice stimule la régénération des tissus et favorise l’intégration du tissu gingival existant, permettant une couverture progressive de la racine dentaire.

Greffe gingivale
Greffe gingivale

Après l’intervention

Après la greffe, le dentiste vous donnera des instructions précises pour prendre soin de vos gencives pendant la guérison. Une sensibilité ou un inconfort léger peut être ressenti dans les jours suivant l’intervention, mais cela disparaît généralement rapidement. Le respect des recommandations du dentiste est essentiel pour assurer une bonne guérison et le succès de la greffe.

Entretien des gencives après une greffe gingivale

Après une greffe gingivale, il est crucial de maintenir une bonne hygiène bucco-dentaire pour garantir la réussite du traitement et prévenir de futures récessions. Voici quelques conseils pour entretenir vos gencives après l’intervention.

  • Hygiène bucco-dentaire

Pendant la période de guérison, vous devrez suivre des soins spécifiques pour éviter d’irriter la zone traitée. Utilisez une brosse à dents extra-souple (chirurgicale) pendant 1 mois et évitez de frotter directement sur les gencives greffées. Le dentiste pourra également vous recommander un bain de bouche antiseptique pour favoriser la guérison.

  • Contrôles réguliers

Il est important de consulter régulièrement votre dentiste après la greffe pour vérifier l’état de vos gencives et suivre la progression de la guérison. Ces contrôles permettent également de s’assurer qu’aucune complication, comme une infection ou une récession supplémentaire, ne se développe.

  • Alimentation adaptée

Après l’intervention, privilégiez une alimentation molle et tiède pour éviter d’irriter la zone greffée. Il est recommandé d’éviter les aliments durs, croquants ou épicés qui pourraient causer une gêne ou endommager la greffe. Une alimentation équilibrée riche en vitamines, notamment en vitamine C, aide à accélérer la guérison.

Pourquoi choisir le cabinet dentaire Claude Monet pour votre greffe gingivale ?

Le cabinet dentaire Claude Monet à Croissy-sur-Seine vous offre un cadre professionnel et rassurant pour vos soins de gencives. Voici pourquoi vous pouvez faire confiance à l’équipe du cabinet pour réaliser votre greffe gingivale.

  • Expertise et personnalisation des soins

Chaque cas de récession gingivale est unique, et au cabinet Claude Monet, les soins sont adaptés à vos besoins spécifiques. Après une évaluation complète, le dentiste vous proposera un plan de traitement personnalisé pour restaurer vos gencives de manière efficace et durable.

  • Technologies de pointe

Le cabinet est équipé des dernières technologies en matière de chirurgie gingivale, ce qui permet de réaliser des interventions précises et minimales. Grâce à ces technologies, le traitement est plus confortable et la récupération plus rapide. L’utilisation d’équipements modernes garantit des résultats optimaux tant sur le plan fonctionnel qu’esthétique.

  • Confort et sécurité

Le confort des patients est une priorité au cabinet Claude Monet. L’environnement apaisant et moderne du cabinet permet de réduire toute anxiété liée au traitement. De plus, toutes les procédures sont réalisées dans le respect strict des normes d’hygiène et de sécurité, assurant ainsi un traitement en toute confiance.

Protégez vos dents avec une greffe gingivale au cabinet dentaire Claude Monet !

La greffe gingivale est une solution efficace pour restaurer la santé de vos gencives et protéger vos dents des complications futures. En choisissant le cabinet dentaire Claude Monet à Croissy-sur-Seine, vous bénéficiez d’un traitement personnalisé réalisé avec soin par une équipe expérimentée. Prenez rendez-vous dès aujourd’hui pour redonner à vos gencives toute leur santé et préserver votre sourire sur le long terme.

Questions fréquentes

La greffe gingivale est-elle douloureuse ?

La greffe gingivale se fait sous anesthésie locale, vous ne ressentirez donc pas de douleur pendant l’intervention. Après l’opération, une légère sensibilité peut être présente, mais elle disparaît généralement en quelques jours. Votre dentiste peut vous recommander des analgésiques pour soulager toute gêne.

Combien de temps dure la guérison après une greffe gingivale ?

La guérison complète après une greffe gingivale prend généralement quelques semaines. Cependant, vous pourrez reprendre vos activités normales après quelques jours. Le respect des recommandations du dentiste est essentiel pour une récupération rapide et sans complications.

Les résultats d’une greffe gingivale sont-ils permanents ?

Avec une bonne hygiène bucco-dentaire et des visites régulières chez le dentiste, les résultats d’une greffe gingivale peuvent durer des années. Toutefois, il est important d’adopter de bonnes habitudes pour éviter de nouvelles récessions gingivales, comme un brossage doux et l’utilisation de brossettes inter dentaires.

Le coût d’une greffe gingivale est-il élevé ?

Le coût d’une greffe gingivale dépend de la technique utilisée et de l’étendue du traitement. Lors de votre consultation au cabinet Claude Monet, un devis personnalisé vous sera fourni. Ce devis tiendra compte de vos besoins spécifiques et de votre situation.

La greffe gingivale est-elle couverte par la sécurité sociale ?

La greffe gingivale n’est pas prise en charge par la sécurité sociale. Certaines mutuelles peuvent également couvrir une partie des frais. Il est recommandé de vous renseigner auprès de votre assurance pour connaître vos options de remboursement.

This site is registered on wpml.org as a development site. Switch to a production site key to remove this banner.